TỔN THƯƠNG SỢI TRỤC LAN TỎA
BS. Trương Văn Trí lược dịch.
Đại cương
Tổn thương sợi trục lan tỏa (Diffuse axonal injury (DAI)) là chẩn đoán lâm sàng liên quan đến
tình trạng tổn thương các dãi chất trắng trong não bộ. Nguyên nhân phổ biến nhất là tai nạn giao
thông, liên quan đến cơ chế tăng và giảm tốc đột ngột, tạo ra lực làm đứt các dãi chất trắng của
não bộ, gây tổn thương vi thể và đại thể sợi trục tại các vị trí tiếp giáp giữa chất trắng và chất
xám. Các dãi chất trắng ở thể chai và thân não cũng thường bị tổn thương trong DAI.
Dịch tể học
Chúng ta không biết được tỷ lệ thật sự của DAI, nhưng ước tính khoảng 40-50% bệnh nhân chấn
thương sọ não nhập viện bị DAI. Khoảng 25% bệnh nhân bị DAI sẽ tử vong, tỷ lệ này có thể
thấp hơn thực tế vì các bệnh nhân bị máu tụ dưới màng cứng, ngoài màng cứng và các loại chấn
thương sọ não khác không được chẩn đoán DAI. Lâm sàng bệnh nhân bị DAI có thể biểu hiện
dưới dạng chấn thương sọ não nhẹ nhưng đa số bệnh nhân DAI có Glasow <8.
Sinh lý bệnh
DAI làm các neuron liên kết bị đứt hoặc hoạt động kém, gây ảnh hưởng đến chức năng nhiều
vùng của não bộ.
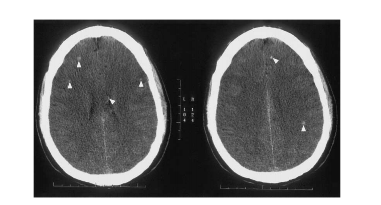
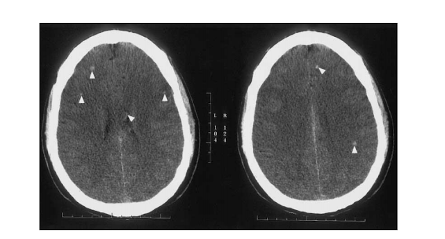
DAI được chia làm 3 mức độ: nhẹ, trung bình và nặng theo phân loại của Adams.
Nhẹ (grade 1): có sự thay đổi vi thể ở chất trắng của vỏ não, thể chai, thân não, và thỉnh thoảng ở
tiểu não.
Trung bình (grade 2): Các tổn thương khu trú, rõ ràng về đại thể ở thể chai.
Nặng (grade 3): Các tổn thương ở grade 2, kèm thêm tổn thương ở thân não (thường ở cuống tiểu
não trên).
Thay đổi về mô học và sinh hóa trong DAI
Đặc trưng của DAI là tổn thương lan tỏa các sợi trục về vi thể ở hai bán cầu đại não, tiểu não và
thân não.
Đặc điểm mô học của DAI phụ thuộc vào thời gian sau chấn thương; trong ngày đầu sau chấn
thương sẽ thấy hình ảnh các sợi trục tổn thương dưới dạng các bóng sợi trục (axon bulbs). DAI
là hậu quả không chỉ của tổn thương sợi trục tiên phát do lực cơ học mà còn do tổn thương sợi
trục thứ phát do các yếu tố sinh hóa. Các tổn thương vi thể quan sát được tương ứng với thoái
hóa sợi trục kiểu Wallerian (Wallerian-type axonal degeneration). Có sự tiến triển chậm chạp từ
phù sợi trục đến hình thành bóng sợi trục và, nhiều tuần sau đó, xuất hiện các đám nhỏ vi tế bào
thần kinh đệm (microglia) lan tỏa trong chất trắng cạnh đường giữa, thể chai, bao trong, và các
hạch xám nhân nền. Tình trạng thoái hóa này xảy ra trong nhiều tháng đến nhiều năm. Các dải
dài như dải cảm giác giữa (medial lemnisci), bó dọc giữa, dải mái trung tâm, và bó vỏ gai có vẻ
dễ bị tổn thương nhất do những thoái hóa này.
Trong 2 năm đầu sau khi bị DAI, có hiện tượng thoái hóa myelin xảy ra. Tổn thương sợi trục dẫn
đến sự mất liên kết đến các cơ quan đích khác nhau, gây ra tình trạng bệnh tật (morbidity) của
bệnh nhân.
Đặc điểm đặc trưng của DAI là sự tiến triển kéo dài của các hiện tượng thứ phát mà kết quả cuối
cùng có thể dẫn đến gián đoạn sợi trục và thoái hóa hoàn toàn đầu xa sợi thần kinh. Một trong
những hậu quả trực tiếp của DAI là tổn thương trong tế bào do sự dịch chuyển cơ học của bào
tương và bộ xương tế bào (cytoskeleton).
TẢI Toàn văn TẠI ĐÂY

